티스토리 뷰
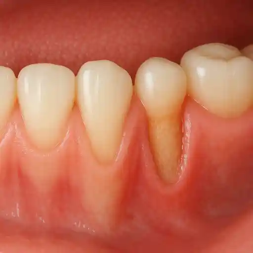
잇몸이 내려앉는 현상은 단순히 미용적인 문제에 그치지 않고, 치아 건강 전반에 심각한 영향을 끼칠 수 있는 증상입니다. 이를 ‘치은 퇴축’이라고 부르며, 치아 뿌리가 노출되고 시린 증상이나 치아 흔들림, 심한 경우 치아 상실로 이어질 수도 있습니다. 이러한 잇몸 퇴축은 다양한 원인에 의해 발생하며, 단순한 노화 현상으로 보기에는 복합적인 요인이 작용하는 경우가 많습니다. 본 글에서는 대표적인 원인으로 꼽히는 치주질환, 잘못된 칫솔질 습관(특히 칫솔 압력), 그리고 유전적인 영향에 대해 심도 있게 분석해 보고자 합니다.

치주질환이 잇몸 퇴축에 미치는 영향
잇몸이 내려앉는 주요 원인 중 가장 대표적인 것은 치주질환입니다. 치주질환은 잇몸에 생긴 염증성 질환으로, 초기에는 단순한 잇몸 출혈이나 붓기 증상으로 시작되지만, 관리가 제대로 되지 않으면 염증이 점차 치주조직 깊숙이 침투해 치조골을 손상시키고 결국 잇몸이 퇴축하게 만듭니다. 치주질환은 대부분 플라그와 치석에서 비롯됩니다. 플라그는 음식물 찌꺼기와 세균이 결합된 끈적한 물질로, 이를 제때 제거하지 않으면 치석으로 굳어지게 됩니다. 치석은 일반적인 칫솔질로는 제거가 불가능하며, 치과에서의 스케일링이 필요합니다. 치석이 잇몸과 치아 사이에 계속 쌓이게 되면 염증 반응이 발생하고, 염증은 치조골을 파괴하여 잇몸이 점점 아래로 내려앉는 결과를 초래합니다. 특히 초기에는 별다른 통증이 없기 때문에 많은 사람들이 치주질환의 진행을 알아차리지 못하는 경우가 많습니다. 하지만 잇몸이 조금씩 내려가면서 치아가 길어 보이거나, 시린 증상이 자주 나타난다면 이미 어느 정도 퇴축이 진행된 상태일 수 있습니다. 정기적인 스케일링과 검진은 치주질환을 예방하고 조기에 발견할 수 있는 가장 효과적인 방법입니다.
강한 칫솔 압력과 잘못된 양치 습관
잇몸이 내려앉는 두 번째 주요 원인은 올바르지 않은 양치 습관, 특히 과도한 칫솔 압력입니다. 많은 사람들이 치아를 더욱 깨끗하게 닦기 위해 강하게 문지르거나, 거친 칫솔을 사용하는데, 이러한 습관은 오히려 잇몸에 손상을 주는 원인이 됩니다. 잇몸은 매우 섬세한 연조직이기 때문에, 강한 물리적 자극이 반복되면 조직이 점차 손상되고 결국 퇴축될 수 있습니다. 특히 수평으로 문지르는 양치법은 치아와 잇몸 경계 부위를 마모시키고, 잇몸이 점차 아래로 밀려나는 결과를 초래합니다. 또한 잘못된 칫솔 선택도 영향을 미칩니다. 너무 단단한 칫솔모는 치아를 닦는 데 효과적일 수 있지만, 잇몸에 부담을 줄 수 있어 장기적으로 퇴축을 유발할 수 있습니다. 양치 시에는 칫솔을 치아와 잇몸 경계에 45도 각도로 대고 부드럽게 작은 원을 그리듯 닦는 것이 이상적이며, ‘부드러운 칫솔모(soft 또는 ultrasoft)’가 적합합니다. 또한 압력이 가해지는 정도를 조절하기 위해 전동칫솔을 사용하는 것도 고려할 수 있습니다. 일부 전동칫솔은 압력 감지 기능이 있어 잇몸에 무리를 줄 수 있는 잘못된 습관을 개선하는 데 도움이 됩니다. 이 외에도 잇몸이 민감한 상태일 때 양치를 너무 자주 하거나, 과도하게 구강청결제를 사용하는 것도 퇴축의 요인이 될 수 있습니다. 특히 알코올 성분이 강한 구강청결제는 잇몸을 건조하게 만들어 손상을 악화시킬 수 있으므로 주의해야 합니다. 올바른 양치 습관은 단순히 치아를 닦는 것을 넘어 잇몸을 보호하는 핵심 수단입니다.
유전적인 요인이 잇몸 퇴축에 끼치는 영향
잇몸 퇴축은 단순히 외부 자극이나 구강 위생 상태만으로 설명되지 않습니다. 많은 연구 결과에 따르면, 유전적인 요인 또한 잇몸 퇴축에 상당한 영향을 미친다고 알려져 있습니다. 실제로 부모나 형제 중에 치주질환 이력이 있는 경우, 동일한 문제를 겪을 가능성이 높아지는 경향이 있습니다. 유전적으로 취약한 잇몸 구조를 타고난 경우, 비교적 어린 나이부터 잇몸 퇴축이 나타나기도 하며, 아무리 철저하게 양치와 관리 습관을 유지하더라도 잇몸 상태가 쉽게 악화될 수 있습니다. 특히 면역반응과 관련된 유전자는 치주질환의 민감성과도 연결되어 있어, 같은 환경에서도 염증 반응이 더 강하게 나타날 수 있습니다. 또한 유전적인 영향은 잇몸의 두께나 형태, 치조골의 밀도 등 해부학적 구조에도 관여합니다. 예를 들어 잇몸이 얇고 치조골이 얕은 경우 외부 자극에 더욱 민감하게 반응하여 퇴축이 빠르게 진행될 수 있습니다. 반면, 잇몸이 두껍고 단단한 구조를 가진 사람들은 동일한 환경에서도 퇴축의 진행 속도가 느릴 수 있습니다. 이러한 유전적 요인을 완전히 제거할 수는 없지만, 유전적 소인을 가진 사람일수록 더욱 철저한 예방과 조기 진단이 필요합니다. 치과에서는 유전적인 위험요소를 사전에 파악하기 위해 가족력 확인과 정기적인 치주 상태 검사를 권장하고 있습니다. 유전적 영향을 받는다고 해서 반드시 잇몸 퇴축이 진행되는 것은 아니며, 평소 관리 습관에 따라 그 영향을 최소화할 수 있다는 점이 중요합니다.
잇몸이 내려앉는 현상은 단순히 한 가지 원인으로 발생하는 것이 아니라, 치주질환, 물리적 자극, 그리고 유전적인 요소가 복합적으로 작용하여 나타나는 결과입니다. 초기에는 자각 증상이 거의 없어 방치되기 쉽지만, 조기에 원인을 파악하고 대응하는 것이 퇴축을 막는 데 가장 중요합니다. 무엇보다도 정기적인 스케일링, 올바른 양치 습관, 개인에게 맞는 예방 전략을 통해 잇몸 건강을 지켜나가는 것이 필수입니다. 지금이라도 자신의 양치 습관과 생활 습관을 점검해 보고, 전문의와의 상담을 통해 치주 건강을 미리 관리해 보시기 바랍니다.
'건강' 카테고리의 다른 글
| 눈밑떨림 원인과 치료 (스트레스, 영양 불균형, 질병) (0) | 2025.05.09 |
|---|---|
| 편두통 원인과 치료 (스트레스, 호르몬, 식습관, 수면 문제) (0) | 2025.05.08 |
| 잇몸 부었을 때 대처법 (약, 생활습관, 양치법) (0) | 2025.05.07 |
| 혓바늘 vs 구내염, 증상과 원인 차이점 (0) | 2025.05.06 |
| 전염성 결막염 치료 가이드 (치료제, 안대 사용) (0) | 2025.05.06 |